Call NowBook Online

Cosmetic Smile Makeover

Before After
Before After

Cosmetic Smile Makeover

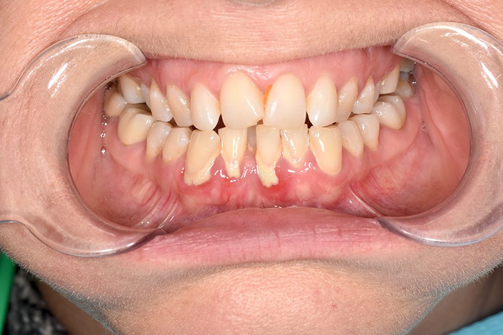
The Problem:
The patient had multiple fillings on her front teeth that kept failing within a short period. She wanted a more aesthetically pleasing and long-lasting solution.

What We Did:
Placed 4 porcelain veneers to enhance the appearance and durability of her smile.

Treatment Time:
6 hours

You can call our friendly team at (03) 9370 9988, email us at info@bluebirddental.com.au, or